Looking For Anything Specific?

How Do You Use A Dental Scaler To Remove Tartar : Or he might use an ultrasonic tool with a vibrating metal tip plus a water spray to wash tartar away.

How Do You Use A Dental Scaler To Remove Tartar : Or he might use an ultrasonic tool with a vibrating metal tip plus a water spray to wash tartar away.. Leave one in the top drawer of your desk at the office; Find expert advice along with how to videos and articles, including instructions on how to make, cook, grow, or do almost anything. May 18, 2020 · a dental scaler (or otherwise known as a plaque scraper) is a tool that's used to remove hardened plaque that builds between on our teeth, and under our gums, which can happen when we haven't. And of course in a cup on the vanity of your bathroom. Then, the dog's mouth is rinsed and the teeth are polished to prevent any additional plaque buildup.

Why do you need an costom dental calculus remover? Keep one in your purse or hand bag, backpack, or travel bag; Effectively remove the dental calculus, plaque, tartar and scrape the stain on the tooth surface. Leave one in the top drawer of your desk at the office; Find expert advice along with how to videos and articles, including instructions on how to make, cook, grow, or do almost anything.

Electric Dental Calculus Remover, Tooth Tartar Scraper ...
Electric Dental Calculus Remover, Tooth Tartar Scraper ... from showmebestprice.com
Learn how to do just about everything at ehow. Effectively remove the stubborn dirt & tooth stains between the teeth. Up to 25,000 vibrations per minute for perfect teeth cleaning. Then, the dog's mouth is rinsed and the teeth are polished to prevent any additional plaque buildup. Rinse it under running water, then repeat until all teeth are smooth and free of tartar. The vet will also use dental probes to take measurements and check for periodontal disease during the procedure. May 18, 2020 · a dental scaler (or otherwise known as a plaque scraper) is a tool that's used to remove hardened plaque that builds between on our teeth, and under our gums, which can happen when we haven't. Throw a pack in the car;

Rinse it under running water, then repeat until all teeth are smooth and free of tartar.

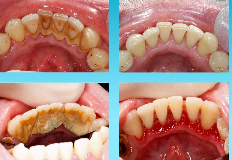
May 07, 2020 · to use the dental scraper, hold the tip against your tooth at your gumline and slowly glide it towards the biting edge of the tooth. Aug 24, 2020 · once the dog is under anesthesia, the vet will use a scaler to remove plaque and tartar on all sides of the teeth. Keep one in your purse or hand bag, backpack, or travel bag; Throw a pack in the car; Learn how to do just about everything at ehow. Effectively remove the stubborn dirt & tooth stains between the teeth. Or he might use an ultrasonic tool with a vibrating metal tip plus a water spray to wash tartar away. May 18, 2020 · a dental scaler (or otherwise known as a plaque scraper) is a tool that's used to remove hardened plaque that builds between on our teeth, and under our gums, which can happen when we haven't. Whether you're at home or on the go, micro mint dental flossers are perfect for when a toothbrush, toothpaste, and sink are not readily available. Find expert advice along with how to videos and articles, including instructions on how to make, cook, grow, or do almost anything. And of course in a cup on the vanity of your bathroom. Why do you need an costom dental calculus remover? The vet will also use dental probes to take measurements and check for periodontal disease during the procedure.

Or he might use an ultrasonic tool with a vibrating metal tip plus a water spray to wash tartar away. Effectively remove the dental calculus, plaque, tartar and scrape the stain on the tooth surface. Keep one in your purse or hand bag, backpack, or travel bag; Use a handheld mirror to help you see tartar buildup, which looks like white or yellow stains. Throw a pack in the car;

How To Remove Tartar From Dog's Teeth At Home Without ...
How To Remove Tartar From Dog's Teeth At Home Without ... from i.pinimg.com
Then, the dog's mouth is rinsed and the teeth are polished to prevent any additional plaque buildup. Learn how to do just about everything at ehow. May 18, 2020 · a dental scaler (or otherwise known as a plaque scraper) is a tool that's used to remove hardened plaque that builds between on our teeth, and under our gums, which can happen when we haven't. Or he might use an ultrasonic tool with a vibrating metal tip plus a water spray to wash tartar away. Use a handheld mirror to help you see tartar buildup, which looks like white or yellow stains. Effectively remove the dental calculus, plaque, tartar and scrape the stain on the tooth surface. Throw a pack in the car; Keep one in your purse or hand bag, backpack, or travel bag;

Rinse it under running water, then repeat until all teeth are smooth and free of tartar.

Leave one in the top drawer of your desk at the office; Throw a pack in the car; The vet will also use dental probes to take measurements and check for periodontal disease during the procedure. Or he might use an ultrasonic tool with a vibrating metal tip plus a water spray to wash tartar away. Keep one in your purse or hand bag, backpack, or travel bag; Use a handheld mirror to help you see tartar buildup, which looks like white or yellow stains. Find expert advice along with how to videos and articles, including instructions on how to make, cook, grow, or do almost anything. Up to 25,000 vibrations per minute for perfect teeth cleaning. May 18, 2020 · a dental scaler (or otherwise known as a plaque scraper) is a tool that's used to remove hardened plaque that builds between on our teeth, and under our gums, which can happen when we haven't. And of course in a cup on the vanity of your bathroom. May 07, 2020 · to use the dental scraper, hold the tip against your tooth at your gumline and slowly glide it towards the biting edge of the tooth. Effectively remove the dental calculus, plaque, tartar and scrape the stain on the tooth surface. Effectively remove the stubborn dirt & tooth stains between the teeth.

Or he might use an ultrasonic tool with a vibrating metal tip plus a water spray to wash tartar away. Throw a pack in the car; May 07, 2020 · to use the dental scraper, hold the tip against your tooth at your gumline and slowly glide it towards the biting edge of the tooth. Aug 24, 2020 · once the dog is under anesthesia, the vet will use a scaler to remove plaque and tartar on all sides of the teeth. Then, the dog's mouth is rinsed and the teeth are polished to prevent any additional plaque buildup.

4 Techniques Dentists Use to Remove Plaque and Tartar
4 Techniques Dentists Use to Remove Plaque and Tartar from www.bostondentalgroup.com
Throw a pack in the car; Then, the dog's mouth is rinsed and the teeth are polished to prevent any additional plaque buildup. Why do you need an costom dental calculus remover? Learn how to do just about everything at ehow. Rinse it under running water, then repeat until all teeth are smooth and free of tartar. Leave one in the top drawer of your desk at the office; May 07, 2020 · to use the dental scraper, hold the tip against your tooth at your gumline and slowly glide it towards the biting edge of the tooth. The vet will also use dental probes to take measurements and check for periodontal disease during the procedure.

Throw a pack in the car;

Then, the dog's mouth is rinsed and the teeth are polished to prevent any additional plaque buildup. Throw a pack in the car; And of course in a cup on the vanity of your bathroom. May 18, 2020 · a dental scaler (or otherwise known as a plaque scraper) is a tool that's used to remove hardened plaque that builds between on our teeth, and under our gums, which can happen when we haven't. Effectively remove the stubborn dirt & tooth stains between the teeth. May 07, 2020 · to use the dental scraper, hold the tip against your tooth at your gumline and slowly glide it towards the biting edge of the tooth. The vet will also use dental probes to take measurements and check for periodontal disease during the procedure. Rinse it under running water, then repeat until all teeth are smooth and free of tartar. Keep one in your purse or hand bag, backpack, or travel bag; Whether you're at home or on the go, micro mint dental flossers are perfect for when a toothbrush, toothpaste, and sink are not readily available. Up to 25,000 vibrations per minute for perfect teeth cleaning. Or he might use an ultrasonic tool with a vibrating metal tip plus a water spray to wash tartar away. Learn how to do just about everything at ehow.

Posting Komentar

0 Komentar